CHỮA ĐA NANG BUỒNG TRỨNG DÂN GIAN: 6 CÁCH PHỔ BIẾN HIỆN NAY
Chữa đa nang buồng trứng dân gian là cụm từ được hàng nghìn chị em tìm kiếm mỗi tháng, với mong muốn cải thiện kinh nguyệt, tăng khả năng mang thai mà không cần dùng thuốc Tây. Từ lá trinh nữ hoàng cung, ích mẫu, ngải cứu cho đến các bài thuốc truyền miệng trên mạng xã hội – liệu những phương pháp này có thực sự hiệu quả hay chỉ là “niềm tin chưa được kiểm chứng”?
Bài viết dưới đây sẽ giúp bạn hiểu đúng về các phương pháp dân gian, mức độ hiệu quả thực sự và lời khuyên từ chuyên gia để tránh tiền mất – bệnh không khỏi.
Mục lục:
Buồng trứng đa nang là gì? Vì sao ngày càng nhiều người mắc phải?
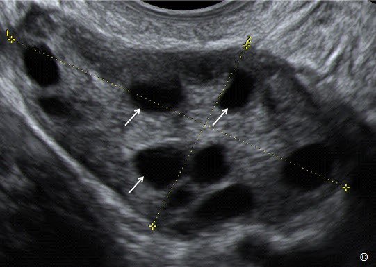
Buồng trứng đa nang (PCOS) là tình trạng rối loạn nội tiết tố nữ, khiến buồng trứng xuất hiện nhiều nang nhỏ nhưng không thể phát triển và rụng trứng bình thường.
Dấu hiệu thường gặp của buồng trứng đa nang
- Kinh nguyệt không đều, có thể vài tháng mới có kinh
- Vô kinh, kinh thưa hoặc rong kinh
- Khó mang thai, hiếm muộn kéo dài
- Lông mọc nhiều bất thường, rậm lông, nhiều mụn
- Tăng cân không kiểm soát, béo bụng
- Rối loạn nội tiết, dễ stress, mệt mỏi
Chính vì bệnh kéo dài, khó dứt điểm, lại ảnh hưởng trực tiếp đến khả năng sinh sản nên nhiều chị em tìm đến chữa buồng trứng đa nang dân gian với hy vọng cải thiện tình trạng bệnh một cách tự nhiên.
6 Cách chữa đa nang buồng trứng dân gian phổ biến
Dưới đây là những phương pháp chữa buồng trứng đa nang dân gian được nhiều người áp dụng hiện nay. Dưới đây là 6 phương pháp chữa buồng trứng đa nang dân gian phổ biến:
Chữa đa nang buồng trứng bằng trinh nữ hoàng cung
Trinh nữ hoàng cung được xem là “thần dược” trong điều trị các bệnh lý phụ khoa, bao gồm đa nang buồng trứng. Thành phần Alkaloid trong cây trinh nữ có tác dụng hỗ trợ giảm kích thước của khối u, thậm chí còn giúp ức chế sự phát triển của các tế bào gây ung thư.
Vì thế, trong các bài thuốc Đông y chữa bệnh đa nang buồng trứng đều có chứa vị thuốc là trinh nữ hoàng cung.

Bạn có thể thực hiện theo 1 trong 2 cách chữa đa nang buồng trứng dân gian bằng trinh nữ hoàng cung dưới đây:
Cách 1: Chỉ sử dụng nguyên liệu là lá trinh nữ hoàng cung
Thực hiện như sau:
- Đem rửa sạch lá trinh nữ hoàng cung
- Cắt lá trinh nữ thành những lát nhỏ rồi cho vào nồi
- Cho thêm 2 bát nước vào và đun cho tới khi còn khoảng 1 bát
- Loại bỏ lá, lấy nước và chia làm 3 phần uống hết trong ngày
Cách 2: Kết hợp trinh nữ hoàng cung với các nguyên liệu khác
Chuẩn bị:
- 50 g Lá trinh nữ hoàng cung
- 50g Lá đu đủ khổ
- 30g Nghệ đen
Thực hiện:
- Rửa sạch nguyên liệu đã chuẩn bị rồi để ráo.
- Cho tất cả nguyên liệu vào ấm sắc thuốc chuyên dụng/nồi, rồi đổ thêm 3 bát nước đầy vào.
- Đun sôi ở lửa vừa rồi đun ở lửa nhỏ cho tới khi nước cạn còn khoảng một bát thì tắt bếp.
- Chia bát thuốc thành 2 phần và uống hết trong ngày, sau bữa ăn
Chữa đa nang buồng trứng dân gian bằng ngải cứu
Ngải cứu được biết đến là một loại rau được sử dụng nhằm tăng thêm mùi vị cho món ăn. Tuy nhiên, không chỉ có thế, ngải cứu còn là một loại thảo dược có trong nhiều bài thuốc Đông y chữa bệnh.
Các thành phần có trong ngải cứu có khả năng điều hòa nội tiết tố nữ. Nhờ đó giúp ổn định kinh nguyệt, giảm tình trạng huyết ứ, tăng lưu thông máu…
Vì thế, sử dụng ngải cứu có thể làm giúp cải thiện và làm giảm số lượng nang trứng thừa, tăng chất lượng trứng và phòng ngừa nguy cơ u nang buồng trứng.

Cách chữa buồng trứng đa nang bằng ngải cứu như sau:
- Lấy một nắm to ngải cứu rồi đem đi rửa sạch. Có thể ngâm với một ít muối để loại bỏ bụi bẩn
- Cho ngải cứu đã rửa sạch vào nồi và thêm khoảng 500ml nước. Rồi đun sôi trong 10 phút
- Uống nước ngải cứu dần trong ngày
Cách chữa đa nang buồng trứng dân gian bằng cây cam thảo
Cam thảo thường được sử dụng để làm trà hoặc kết hợp được sử dụng thêm vào các loại trà thảo dược nhằm tăng vị ngọt, giúp thanh nhiệt, giải độc. Ngoài ra, cam thảo còn có tác dụng tốt trong điều trị một số bệnh lý như đa nang buồng trứng.
Trong cam thảo có chứa hoạt chất Phytoestrogen với hàm lượng cao. Chất này có hiệu quả tốt trong việc bảo vệ thụ thể liên kết Estrogen – nội tiết tố nữ quan trọng giúp bảo vệ nang buồng trứng. Từ đó giúp ngăn chặn tình trạng đa nang buồng trứng.

Cách chữa đa nang buồng trứng tại nhà bằng cây cam thảo như sau:
- Lấy phần thân và rễ của cây cam thảo, sau đó đem rửa sạch
- Rồi phơi thật khô và cho vào lọ kín
- Mỗi lần uống, dùng 2 – 3g cam thảo rồi hãm với 100ml nước nóng trong khoảng 10 phút
- Uống 2 lần/ngày
Dùng cây bồ công anh là cách chữa đa nang buồng trứng dân gian
Bồ công anh là vị thuốc “quý” trong Đông y với nhiều công dụng chữa bệnh như chống viêm, chống oxy hóa, phòng ngừa ung thư, bổ sung canxi, vitamin K. Ngoài ra, bồ công anh cũng là dược liệu để chữa đa nang buồng trứng ở nữ giới.
Với bệnh đa nang buồng trứng, các hoạt chất có trong cây bồ công anh có công dụng giúp ổn định hormone estrogen, androgen. Nhờ đó, đem lại hiệu quả tích cực trong điều trị bệnh.

Cách chữa đa nang buồng trứng dân gian bằng cây bồ công anh được thực hiện như sau:
- Chuẩn bị khoảng 1 nắm to cây bồ công anh tươi, hoặc 50g bồ công anh khô.
- Đem bồ công anh đi rửa sạch
- Sau đó cho vào ấm đun chuyên dụng hoặc nồi rồi cho thêm khoảng 500ml nước và đun sôi.
- Đun sôi khoảng 15 phút thì tắt bếp. Lấy nước và chia thành nhiều lần uống trong ngày
Cách chữa đa nang buồng trứng bằng giấm táo
Sự tăng quá mức nồng độ Insulin trong cơ thể là một trong những nguyên nhân phổ biến gây ra bệnh buồng trứng đa nang ở nữ giới.
Trong khi đó, hoạt chất có trong giấm táo có hiệu quả tích cực trong việc ức chế tổng hợp glucose trong cơ thể, nhờ đó giảm bớt nồng độ insulin và ngăn cản tình trạng đa nang buồng trứng. Do đó, dùng giấm táo cũng là cách chữa đa nang buồng trứng tại nhà được nhiều người áp dụng.

Để chữa đa nang buồng trứng dân gian bằng giấm táo, bạn hãy pha 1 thìa canh giấm táo vào cốc nước ấm và uống hàng ngày, ngay sau khi ngủ dậy.
Trường hợp bạn mắc bệnh dạ dày thì ban đầu nên pha với một lượng nhỏ giấm táo để cơ thể làm quen, sau đó mới tăng dần lượng lên.
Chữa đa nang buồng trứng bằng trà xanh
Lá trà xanh có chứa thành phần là hợp chất polysaccharide và polyphenol với công dụng ổn định lượng đường trong cơ thể. Nhờ đó, nồng độ Insullin trong cơ thể được kiểm soát. Điều này có tác dụng tốt trong việc cải thiện đa nang buồng trứng.

Đặc biệt, chất ECG và EGCG có trong lá trà xanh có khả năng bảo vệ buồng trứng và tử cung của chị em, giúp phòng ngừa nguy cơ mắc các bệnh lý tại cơ quan này.
Để cải thiện tình trạng bệnh buồng trứng đa nang, chị em hãy uống 1 – 2 ly trà xanh mỗi ngày. Tuy nhiên, chị em cũng cần lưu ý không nên uống trà xanh vào buổi tối để tránh gây mất ngủ.
Cách chữa đa nang buồng trứng bằng quả lý gai
Quả lý gai còn được gọi là quả Amla có nguồn gốc từ Ấn Độ, có đặc tính là chống viêm, làm giảm cholesterol và khôi phục sự cân bằng hormon trong cơ thể. Vì thế, quả lý gai là nguyên liệu tốt để chữa bệnh đa nang buồng trứng.

Cách chữa đa nang buồng trứng bằng quả lý gai, cách làm như sau:
- Ép quả lý gai lấy nước
- Sau đó pha với nước ấm rồi uống trong ngày
Các cách chữa đa nang buồng trứng dân gian có đem lại hiệu quả chữa bệnh?
Đây là câu hỏi mà 90% người tìm kiếm từ khóa “chữa buồng trứng đa nang dân gian” quan tâm.
Dưới góc nhìn y khoa, buồng trứng đa nang là bệnh lý nội tiết mạn tính, không thể khỏi hoàn toàn chỉ bằng thảo dược. Các phương pháp dân gian không tác động trực tiếp đến cơ chế bệnh.
Thực tế lâm sàng cho thấy nhiều chị em chậm trễ điều trị y tế vì tin vào chữa buồng trứng đa nang dân gian. Khi đi khám lại, bệnh đã nặng hơn, rối loạn nội tiết nghiêm trọng và khó có thai hơn trước
Chị em nên nhớ, chữa buồng trứng đa nang dân gian chỉ mang tính hỗ trợ – không thay thế điều trị y khoa.
Trên đây là những cách chữa đa nang buồng trứng dân gian được nhiều người áp dụng. Đa nang buồng trứng là bệnh lý phụ khoa mà nhiều chị em mắc phải, có thể gây vô sinh – hiếm muộn nên cần được điều trị càng sớm càng tốt. Nếu bạn còn băn khoăn về cách chữa đa nang buồng trứng dân gian thì hãy liên hệ ngay với chúng tôi qua Hotline để được hỗ trợ giải đáp nhanh nhất.








